
Fibroblast growth and development has remained elusive to researchers due to its heterogeneity. Many different types can develop in the heart, and they also differ depending on their point of origin. Some stem from existing fibroblasts, some from endothelial cells, and some from circulating bone marrow cells. Studying the different subtypes, as well as how they function, could drive targeted therapeutics or diagnostics, if for example, relevant biomarkers could be found.
Mouse research has shown that in addition to the diversity of cardiac fibroblasts, fibrosis also presents differently in CHF patients who have had a heart attack (myocardial infarction or MI) as compared to patients who have not. So studying the composition of fibroblast subtypes alone is not enough – researchers must also look at differences in tissue between MI and non-MI patients.
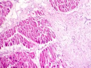
iSpecimen was able procure 10 formalin-fixed, paraffin-embedded (FFPE) left-ventricular tissue blocks from patient donors with left-sided CHF and left ventricular fibrosis. Five were from patients that had a history of MI and five were from patients without. The researchers, part of a world-renowned institute for biomedical research, will use these blocks to further understand fibrosis development, not only across different places of origin but also between MI and non-MI groups. Discoveries could help pave the way for specialized diagnostics or therapeutics that ultimately save lives.
Given the surge of interest in personalized medicine around oncology, we often receive orders for cancerous FFPE blocks, but this month’s Specimen Spotlight serves as an example of other types of solid tissue we can source. Many scientists studying diseases outside of oncology are in need of solid tissue from patients with conditions such as cirrhosis of the liver, chronic obstructive pulmonary disease of the lungs, or in this case, congestive heart failure. FFPE block format, which is marked by very thin slices of bodily tissue embedded in each block, allows scientists to focus on intricate detail at the cellular level.